7 Haftalık Gebelik Kese Var Bebek Yok!

Selamlar sevgili Sağlıklı Yaşantı okurları. Son dönemlerde birçok farklı mesaj ve ileti almaktayız. Bu noktada özellikle sizlere hızlıca dönüş yapmaya çalışmaktayız. Araştırmalarımız ve bilgilerimizi sizlere aktarmak bazen gecikmeli olabilmektedir. Bu içeriğimizde hızlıca 7 haftalık gebelik kese var bebek yok konusunu sizlere aktaracağız. Dilerseniz lafı daha fazla uzatmadan konu başlıklarımıza geçiş yapabiliriz. Bu sayede konu ile ilgili kafanıza takılan soruların da cevaplarına erişmiş olacağız. Gebelik Kesesi Nedir? Doğum yapacak ve hamile olan kişiler için yeni terimler oluşmaktadır. Bunlardan birisi de gebelik kesesi terimidir. Peki gebelik kesesi tam olarak ne demek? Gelin hep birlikte bu terimin açıklamasına  ve ne işe yaradığına hep birlikte göz atalım. Gebelik kesesi, bebeğin hamilik süresince gelişmiş olduğu yerdir. Rahim içerisinde siyah ve yuvarlak bir oluşum şeklinde görülmektedir. İçerisinde amniyon sıvısı dolu olarak görülmektedir. Keseler şekil olarak yuvarlaktır. Etrafında ise rahmin iç tabakası çevrili şekildedir. Kesenin düzgün sınırlara sahip olması ise normal gebelik olduğunu düşündürmektedir. Ayrıca “Kreon ne işe yarar“ konusuna da […]

7 Haftalık Gebelik Kese Var Bebek Yok!

Selamlar sevgili Sağlıklı Yaşantı okurları. Son dönemlerde birçok farklı mesaj ve ileti almaktayız. Bu noktada özellikle sizlere hızlıca dönüş yapmaya çalışmaktayız. Araştırmalarımız ve bilgilerimizi sizlere aktarmak bazen gecikmeli olabilmektedir. Bu içeriğimizde hızlıca 7 haftalık gebelik kese var bebek yok konusunu sizlere aktaracağız.

Dilerseniz lafı daha fazla uzatmadan konu başlıklarımıza geçiş yapabiliriz. Bu sayede konu ile ilgili kafanıza takılan soruların da cevaplarına erişmiş olacağız.

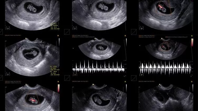
Gebelik Kesesi Nedir?

Doğum yapacak ve hamile olan kişiler için yeni terimler oluşmaktadır. Bunlardan birisi de gebelik kesesi terimidir. Peki gebelik kesesi tam olarak ne demek? Gelin hep birlikte bu terimin açıklamasına  ve ne işe yaradığına hep birlikte göz atalım.

Gebelik kesesi, bebeğin hamilik süresince gelişmiş olduğu yerdir. Rahim içerisinde siyah ve yuvarlak bir oluşum şeklinde görülmektedir. İçerisinde amniyon sıvısı dolu olarak görülmektedir. Keseler şekil olarak yuvarlaktır. Etrafında ise rahmin iç tabakası çevrili şekildedir. Kesenin düzgün sınırlara sahip olması ise normal gebelik olduğunu düşündürmektedir.

Ayrıca Kreon ne işe yarar konusuna da göz atmayı unutmayın.

Boş Gebelik Belirtileri

Düşüklerin birçok farklı sebepleri olabilmektedir. Bu noktada konuyu detaylı olarak araştırdım ve sizlerle birlikte paylaşmak istedim. Hamilelikte görülen semptomlar ile boş gebeliğin karakterize olduğunu söyleyebilmek mümkündür. Fakat burada bazen hiç belirtiye neden de olmayabilmektedir. Gelin hep birlikte boş gebelik belirtileri konusuna göz atalım.

  • Göğüs ağrısı ve hassasiyeti,
  • Mide bulantısı ile kusma,
  • Halsiz ve yorgun hissetme,
  • Vücudun farklı bölgelerinde oluşan ödem ve şişlikler,
  • Pozitif gebelik testi,
  • Kasıklarda ağrı yaşama,
  • Düzensiz regl periyotu.

Burada yer alan tüm maddeler, genel olarak boş gebeliğin semptomları olarak bilinmektedir. Eğer sizlerde bu konuda kafanızda soru işaretleri taşıyorsanız, mutlaka uzman bir doktora muayene olmanız gerekmektedir.

7 Haftalık Gebelik Kese Var Bebek Yok!

Genel olarak ilk defa hamilelik yaşayanlar biraz panik ve korku halinde olmaktadırlar. Bu sebepten dolayı da birçok farklı sorun algılarlar. Bunlardan birisi de kese var bebek yok sorunudur. Maalesef günümüzde görülen ve rastlanılan olaylardan birisidir.

Bu noktada bu sorunu yaşayan birçok farklı kadın yer almaktadır. Genel olarak bu tür durumlarda beklemek en doğru karar olmaktadır. Fakat bununla birlikte doktorunuz da en doğru cevabı sizlerle birlikte paylaşacaktır. Bu tür sorunlar ile karşılaşıldığında 7 haftalık bebek görüntüsü de bir nevi çözüm türüdür. Doktorunuz zaten büyük ihtimalle bu şekilde bir öneride bulunacaktır.

Bu içeriğimizde sizlerle birlikte 7 haftalık gebelik kese var bebek yok konusuna değinmekteyiz. Umarım faydalı ve bilgi içeren bir makale türü olmuştur. Konu ile ilgili görüşlerinizi, aşağıda yer alan yorum kısmında belirtebilirsiniz. Aynı zamanda sorularınızı da en yakın zamanda sizler için güncel olarak cevaplamaktayız.

Related Posts

Entangled in the Thorns: The Small Dog Whipped by Fear and Greenery

All Posts 7 days ago

Table of ContentsA Curious Step into a Lethal TrapThe Agony of Being Tethered to the EarthWill Anyone Stop to Save Him?There is nothing more heartbreaking than the muffled, panicked whimpers of a creature that doesn’t understand why it is trapped. For the smallest of our street dogs, the world is already a giant, terrifying place. But when the very environment around them turns into an inescapable cage, their fragile world completely shatters. This is the tragic story of a tiny, forgotten dog—a soul so small that the weeds threaten to swallow him whole—trapped by his own head in the tight branches and plastic mesh of a small tree. A Curious Step into a Lethal Trap He is just a pup, or perhaps a small-breed stray, with large, expressive eyes that reflect the fading light of day. He was likely chasing a scent, looking for a place to shield himself from […]

“Please Don’t Leave Me”: The Heartbreaking Moment a Trapped Dog Begged Rescuers for Her Life

Rescue Stories 1 week ago

Table of ContentsTrapped with Nowhere to RunThe Race Against the ClockThe Road to Recovery at Healing HeartsHow You Can Help Voice the VoicelessThe eyes of an animal in distress speak a universal language—one of absolute terror, confusion, and a silent plea for mercy. When the historic floodwaters began to surge through the valley earlier this week, countless lives were turned upside down. But few images capture the sheer heartbreak of the disaster quite like the sight of a beautiful, pale-coated dog, trapped against a wire fence, watching the water rise around her with nowhere left to run. This is the story of Bella, and the miraculous team of heroes who refused to let her drown. Trapped with Nowhere to Run The storm hit without warning, turning small streams into raging rivers within hours. While many residents managed to evacuate to higher ground, Bella found herself cut off from safety. Panicked […]

Evde Para Kazanmanın Yaratıcı Yolları 2025

All Posts 1 year ago

Evde Para Kazanma yolları arıyorsanız, hobilerinizi değerlendirmek harika bir fırsat sunuyor. Yaratıcılığınızı kullanarak keyifli bir gelir elde edebilirsiniz.

0 Comment

Write a Comment

Random